Tandstenborttagning är en viktig behandling för att behålla en god munhälsa. Tandsten uppstår när plack på tänderna blir hårt och fastnar på tandytorna. Om tandsten får sitta kvar på tänderna kan det leda till allvarliga problem, som till exempel tandlossning. I denna artikel kommer vi att gå igenom varför tandstenborttagning är så viktig, hur behandlingen går till, samt varför den är avgörande för att förhindra tandlossning. Genom att ta bort tandstenen regelbundet kan du skydda både dina tänder och ditt tandkött från skador och säkerställa en friskare mun på lång sikt.
Vad Är Tandsten och Varför Är Det Ett Problem?
Tandsten bildas när plack, en klibbig film av bakterier, härdar och fastnar på tänderna. Tandsten gör tänderna mer mottagliga för inflammation och infektion i tandköttet. Om man inte får rätt behandling i rätt tid, kan det leda till tandlossning. Därför är det viktigt att få behandling i tid för att förhindra dessa allvarliga problem och bevara tandhälsan.
Tandstenborttagning: En Nödvändig Behandling
Tandstenborttagning är en snabb och enkel behandling som effektivt kan förhindra allvarliga tandproblem. För att utföra behandlingen använder tandläkaren speciella verktyg för att avlägsna tandstenen från tänderna. Det är avgörande att tandstenen tas bort regelbundet för att undvika att den orsakar skador på tandköttet och benen som stödjer tänderna. Därför rekommenderas det starkt att du besöker tandläkaren för regelbundna tandstensborttagningar, vilket hjälper till att bibehålla en god munhälsa och förebygga framtida problem.

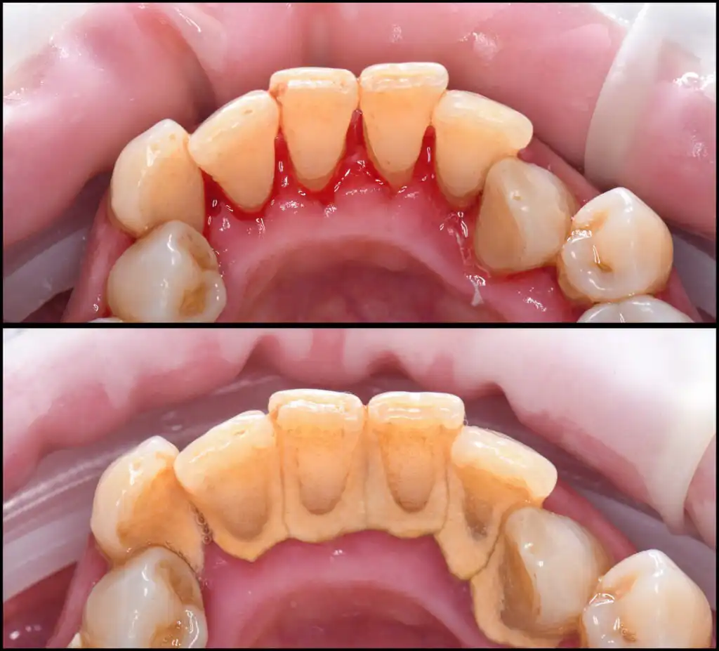
Så Här Går Tandstenborttagning Till
Först gör tandläkaren en noggrann undersökning av dina tänder och ditt tandkött. Sedan använder tandläkaren ultraljudsverktyg för att lösa upp tandstenen. Tandläkaren tar bort tandstenen försiktigt från både tändernas yta och under tandköttslinjen. När tandstenen är borta, putsar tandläkaren tänderna för att göra dem släta. Detta gör det svårare för ny plack att fastna.
Hur Förebygger Tandsten borttagning Tandlossning?
Tandstenborttagning hjälper till att förhindra tandlossning på flera sätt. För det första avlägsnas bakterierna som kan orsaka infektion i tandköttet. För det andra minskar risken för att tandköttet ska bli inflammerat och dra sig tillbaka. Om tandköttet drar sig tillbaka kan det leda till att tänderna blir lösa och faller ut. Genom att ta bort tandstenen förebygger du dessa problem.
Tandstens borttagning
En ytterligare fördel med tandstenborttagning är att den resulterar i renare och friskare tänder. När tandstenen är borttagen, genomför tandläkaren en tandputsningsbehandling. Denna behandling polerar tänderna och gör dem släta, vilket gör det svårare för bakterier och plack att fästa på tändernas ytor framöver.
Varför Är Det Viktigt att Ta Bort Tandsten?
Att ta bort tandsten regelbundet är avgörande för att förhindra allvarliga tandproblem. Om tandstenen får vara kvar på tänderna, kan det leda till tandköttsinflammation (gingivit). Vidare, om inflammationen inte behandlas, kan det utvecklas till mer allvarliga former av parodontit, vilket är en orsak till tandlossning. Tandlossning gör att tänderna blir lösa och i värsta fall kan det bli nödvändigt att ta bort flera tänder. Därför är det viktigt att hålla koll på tandstenen och ta bort den i tid för att undvika dessa allvarliga konsekvenser.
Vanliga Frågor om Tandsten borttagning
Hur ofta bör jag få tandstenen borttagen?
Vi rekommenderar att du får tandstenen borttagen minst en gång om året. Om du har ökad risk för tandsten kan du behöva gå oftare.
Gör tandstenborttagning ont?
Nej, tandstenborttagning är en snabb och smärtfri behandling. Om du har känsliga tänder kan det ibland kännas lite obehagligt, men det är vanligtvis inget problem.
Kan jag förhindra tandsten?
Ja, genom att borsta tänderna ordentligt två gånger om dagen och använda tandtråd kan du minska risken för att tandsten bildas. Det är också bra att undvika rökning, eftersom det ökar risken för tandsten.
Med dessa tips och behandlingar kan du hålla dina tänder friska och förebygga tandlossning. Tänk på att tandstenborttagning inte bara är en behandling, utan också en förebyggande åtgärd som hjälper dig att upprätthålla god munhälsa över tid. Du kan läsa mer om tandsten borttagning hos 1177
Slutsats
Tandstenborttagning är en viktig och förebyggande behandling för att bibehålla en god munhälsa. Genom att regelbundet ta bort tandsten minskar du risken för tandköttsinflammation, parodontit och tandlossning. Behandlingen är både snabb och effektiv och bidrar till att hålla både tänder och tandkött friska. Dessutom, genom att följa en noggrann munhygienrutin och besöka tandläkaren för regelbundna tandstensborttagningar, kan du förebygga allvarliga tandproblem och säkerställa att din mun förblir frisk och stark. Kom ihåg att en frisk mun är en viktig del av din övergripande hälsa och välbefinnande!
Kontakta oss för att boka en konsultation och få hjälp med tandstenborttagning och behandling av tandlossning. För fler frågor om förebyggande tandvård eller om du är redo att boka en konsultation, tveka inte att kontakta oss via telefon 0760353422 eller Tryck här och boka en tid hos oss idag! Du är alltid välkommen att fylla formuläret nedan om du har några frågor.